
Wijnegem, April 24, 2024 – Orfit sat down with Muhammed Ozeroglu, chief physicist at Las Vegas CyberKnife, to learn more about the center’s workflow and ways the staff have solved positioning and immobilization challenges inherent in the delivery of highly precise, targeted stereotactic radiosurgery (SRS) and stereotactic body radiotherapy (SBRT) with CyberKnife.

Las Vegas CyberKnife has been delivering high quality cancer treatment since 2010, to patients throughout southern Nevada and surrounding areas in Arizona, Utah and California.
The center provides short courses of radiation therapy to treat tumors in the brain, prostate, lung, pancreas, liver, spine, bone, and various lymph nodes. The team is committed to providing accurate and effective radiosurgery treatment for all patients, and helping them to return to their normal daily routine as fast as possible.
Because SRS delivers precisely targeted radiation at higher doses with tight tolerances spread across only a few treatment visits, it requires an increased level of attention to patient immobilization.
“A lot of the time, the arm position on wider patients really is causing a lot of issues with field of view cutoff. Orfit’s narrow full body cushion not only helps the quality of the treatment go up by reducing hotspots and ancillary dose to organs at risk, it also helps us reduce treatment time and increase throughput. We’ve easily been able to see one to two more patients a day because of Orfit’s solution”
“I also like that the head support is soft. Some of these trigeminal neuralgia cases can be up to one-hour long and patients really appreciate being more comfortable over that kind of treatment duration. Increased patient comfort reduces patient movement and treatment time.”
Orfit asked Mr. Ozeroglu if there was anything he wanted to share to help benefit patients undergoing CyberKnife treatments at other treatment centers.
"As a long time CyberKnife user and a consulting physicist, I think its important to share solutions we’ve implemented with other centers to improve patient treatments and outcomes throughout the community. For the type of radiation therapy we deliver with the CyberKnife, we need a fast CT for a true breath hold without compromising the field of view, One of the most useful tools we have for set-up is what we call the ‘skinny pad’ from Orfit (Full Body Cushion). It’s only about 10cm thick and it’s very narrow, which enables the patient’s arms to rest below the back. This allows more of the patient’s outer torso diameter to be included in the beam entry angle."
- Muhammed Ozeroglu, Chief physicist at Las Vegas CyberKnife

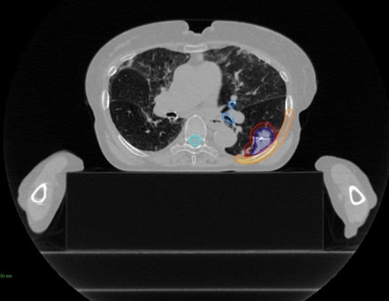
The full body cushion allows the use of lateral fields to radiate the spine and posterior thorax, without the arms being located in the treatment field.
Mr. Ozeroglu also explained some of intricacies of head positioning with CyberKnife and the importance of radiation therapists being able to make quick head rotations for patients in every angle once the patients are immobilized within the mask.
“Given the highly precise and conformal level of radiation we are delivering with CyberKnife, if the patient tenses up ever so slightly, we have to make a minor adjustment – which could be tenths of a degree. The Orfit head support solution is definitely engineered for quick maneuverability. Because the Orfit screw fits right through the hole on the table, all we have do to is just loosen it and change the yaw. With some of the other acrylic-type designs, you can’t really rotate the patient’s head without loosening the mask and repositioning the head on the head holder, which is not only uncomfortable for the patient but also compromises accuracy and increases setup time.”
“I also like that the head support is soft. Some of these trigeminal neuralgia cases can be up to one-hour long and patients really appreciate being more comfortable over that kind of treatment duration. Increased patient comfort reduces patient movement and treatment time.”
Orfit’s head supports for CyberKnife are constructed of low-density material and come in a set of six different sizes with and without lateral neck flaps to accommodate the full range of patients.